Our success stories...

 
 
Fotolia_122793021_Subscription_Monthly_M.jpg

 

Case Studies

 

Let Nith Place design the smile you've always dreamed of.

 

Below is  a showcase of real patient smiles and examples of some of the many procedures and dental treatments available at Nith Place.

If you have any questions about the case studies, or you would like to know more about how to achieve the same look, then please do not hesitate to get in touch. 

Real Patient Case Studies...

 
Nith_Place_Before_image.jpg

Before

This patient was unhappy with the appearance of her discoloured teeth and the colours and shape of her old veneers and crown on her front teeth.

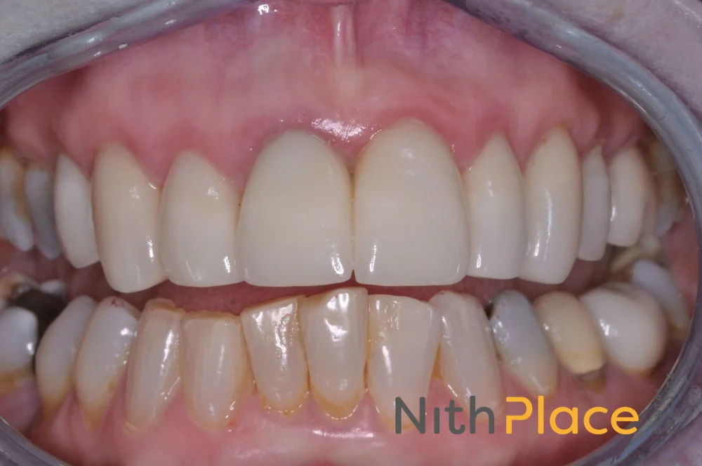
AFTER_PHOTO.jpg

After

A course of tooth whitening followed by some new veneers and a crown has transformed her smile!


Before

Patient was unhappy with her discoloured, chipped front teeth and ‘pointed’ canine teeth.

After

4 beautiful e-max ceramic crowns and cosmetic bonding of composite to re-shape the canines gives a great smile.


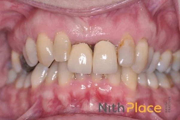
Before

Patient was unhappy with the appearance of several older crowns and bridges and wanted a brighter, natural smile for her wedding.

After

Replacement of crowns and bridge with all ceramic crowns, veneers and bridge meant beaming smiles on her big day.


Before

Patient was very self conscious of her teeth due to her older crowns on her front teeth.

After

Gum re-contouring, tooth whitening, new crowns and smile to be proud of.


Before

A broken bridge needn’t spell disaster.

After

Tooth whitening, extraction of roots, a partial denture and some porcelain veneers saved the day.


Before3.jpg

Before

Patient wanted to get rid of a plastic denture that replaced the front teeth.

After3.jpg

After

An all ceramic bridge which looks and performs like natural teeth.


fullsizeoutput_29c.jpeg

Before

Patient was unhappy with the shape/size and colour of her teeth

fullsizeoutput_29d.jpeg

After

Treatment carried out with Tooth Whitening, Porcelain veneers and cosmetic bonding gave a great result.

"I am beyond thrilled at the finished result... worth every penny."


DSC_5184.JPG

Before

Patient was unhappy with her smile, and wanted to improve the colour, shape and position of her teeth, but still look natural.

DSC_5583.JPG

After

Patient was delighted with combination of Tooth Whitening, Porcelain veneers and E-max crowns.

"A final outcome that way exceeded my initial aspirations. Nith Place, a fabulous team, Gold standard treatment and the ability to change lives." - M.P


Nith Place Dental Veneers Before_3bd.jpeg

Before

Patient was unhappy with the shape, colour and alignment of her upper front teeth and wanting to improve the appearance before her wedding.

Nith Place Dental Veneers After_3bd.jpeg

After

A great smile for the wedding was achieved with tooth whitening, and 6 porcelain veneers.


Nith Place Dental Crowns and veneers After301.JPG

Before

Patient was unhappy with the appearance of her old crowns and veneers

Nith+Plance+dental+crowns+and+veneers+after31e.jpeg

After

We replaced the crowns with some great, natural looking E-max crowns


fullsizeoutput_52b.jpeg

Before

fullsizeoutput_52c.jpeg

After


fullsizeoutput_528.jpeg

Before

fullsizeoutput_52a.jpeg

After